Wegen Tierquälerei angeklagter Braunauer in Justizanstalt Ried eingeliefert

Prozess am 13.8. am Landesgericht Ried / Pfotenhilfe als Geschädigte vor Ort

Der selbe Mann hatte auch schon im Frühjahr eine Zeugin von brutalsten Misshandlungen an seinem Hund bedroht.

Braunau/Ried/Lochen, 26.7.2020 - Wie die Landespolizeidirektion OÖ heute mitteilte (wurde am Samstag ein 19-jähriger Braunauer wegen einer Drohung mit einem Küchenmesser festgenommen und in die Justizanstalt Ried eingeliefert.

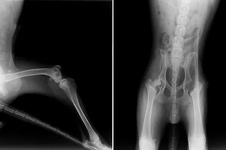
Der selbe Mann hatte auch schon im Frühjahr eine Zeugin von brutalsten Misshandlungen an seinem Hund bedroht. Der erst sechs Monate junge Schäferrüde wurde schwer verletzt vom Amtstierarzt beschlagnahmt und am Tierschutzhof Pfotenhilfe erstversorgt und untergebracht und hat den Namen Leo bekommen. Die Verhandlung findet am 13.8.2020 um 8.30 Uhr am Landesgericht Ried im Innkreis statt. Es ist davon auszugehen, dass die Anklage aufgrund der aktuellen Ereignisse ausgeweitet wird.

© PFOTENHILFE Lochen

Pfotenhilfe-Geschäftsführerin Johanna Stadler: "Ich war schockiert, als mir das gepeinigte Hundekind übergeben wurde. Der Täter musste Leo immer wieder mit harten Gegenständen ins Gesicht geschlagen haben, denn dieses war komplett zugeschwollen. Am Hals hatte er Würgespuren und die Haut war mit blauen Flecken übersät. Leo humpelte auch auffällig, und auf den Röntgenbildern kann man erkennen, dass er offenbar so brutal misshandelt wurde, dass er sogar an der Hüfte operiert werden musste. Der junge Schäferhund war auch stark abgemagert und in einem extrem schlechten Gesamtzustand, und er erholt sich bis heute körperlich nur sehr langsam. Noch schlimmer sind aber seine seelischen Wunden, weshalb ich ihn persönlich rund um die Uhr betreue und tröste. Es ist mir unbegreiflich, wie man sich so skrupellos und brutal an einem Kind vergehen kann und mir kommen jetzt noch die Tränen, wenn ich daran denke, was Leo monatelang ertragen musste."

Veröffentlicht am 27.07.2020